
Bereits Mitte März wurde Frieda überraschend früh wieder läufig, so dass wir uns Ende des Monats auf den Gewalttrip von Selmsdorf nach Auerbach bei Passau begaben. Kahlua setzte ich in Hamburg bei meinem Sohn ab. Senta blieb in Kassel bei meinen guten Freunden Chris und Klaus, wo wir auch ein Nacht schliefen. Weitere knapp 500 Kilometer lagen vor uns.
Frieda erkannte sofort die Straße und das Haus, in dem Asim lebt, wieder und wurde ganz aufgeregt. Was war das für eine Wiedersehensfreude zwischen den Beiden. Es wurde ausgiebig getobt und gespielt, bevor die Beiden nach über einer Stunde zur Sache kamen. Abends durfte ich die Gastfreundschaft bei Tom und Diana, sowie Dianas supertollen Schweinebraten genießen, bevor wir uns ins Gästezimmer zur Nacht verzogen. Am nächsten Morgen haben sich Frieda und Asim sich noch einmal getraut. Dann mussten wir Corona-bedingt leider schon den Rückweg antreten.
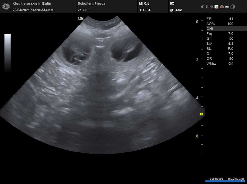
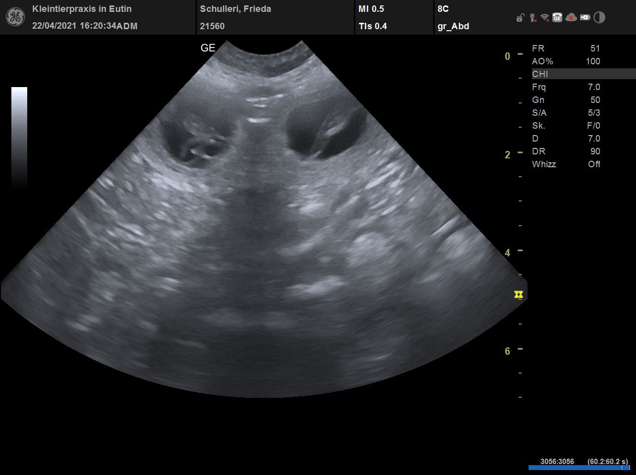
Seit letzter Woche ist es nun gewiss: Frieda erwartet Puppies. Offensichtlich wird es diesmal nur ein kleiner Wurf. Und da es so viele Interessenten gibt, von denen ich schon einige kennengelernt habe, muss ich hier schreiben:
UNSERE INTERESSENTENLISTE IST VOLL! ICH KANN LEIDER NIEMANDEN MEHR AUFNEHMEN.
Sollten wider Erwarten mehr Welpen – als Interessenten da sind – zur Welt kommen und weitere Anfragen möglich sein, werde ich das hier veröffentlichen. ,




